写作绅士,读作丧尸 X岛揭示板
顺猴者昌 逆猴者亡 首页版规 |用户系统 |移动客户端下载 | 丧尸路标 | | 常用图串及路标 | 请关注 公众号:【矛盾苇草】| 人,是会思考的芦苇
常用串:·豆知识·跑团板聊天室·公告汇总串·X岛路标

No.61074074 - 无标题 - 综合版1


回应模式
No.61074074
名 称
E-mail
标题
颜文字
正文
附加图片
• 重新出发
• 关于X岛与A岛关系的说明:>>No.50000002置顶串
• 上手前建议您阅读:>>No.50000001【全岛总版规】
• 我们建议您开串时抛弃任何非必要性的身份标签,直接进入话题,否则您可能将面临不友善态度
• 综合版为综合性版块,请优先选择各关联性强分版。
• 工作考试及投资相关请至社畜(校园)版,好物推荐/购物拼团请转买买买版,手机及装机咨询请转数码版,无公众讨论意义及记录请转日记版
• 全岛禁止违法违规话题以及晒交配,请尊重他人的同时尊重自己。
• 特殊事务可于版务版块发串,私信官方微博@X岛揭示板,或邮件联系help@nmbxd.com • 客户端下载地址:https://app.nmbxd.com

收起 查看大图 向左旋转 向右旋转
无标题 无名氏 2024-02-01(四)22:45:56 ID:SmS1n2r [举报] [订阅] [只看PO] No.61074074 [回应] 管理
开个见习纪录串(`・ω・)
小肥在正骨推拿理疗科见习中,由于部分症状容易与其他病症混淆,或错误方式治疗,可能导致延误就医,故在此开串记录日常并穿插科普与治疗建议。
但请注意,小肥不提倡赛博就医,在这串里不会得到具体治疗方案与手法等细节,若肥哥卿姐有需要,可以将自己或亲友的病症,影象结果,治疗过程等按照以下格式发到本串,小肥会在咨询老师白嫖挂号费的情况下转达解答与建议(`・ω・)
串首是小肥岌岌可危但由于不影响正常生活故不用治疗的颈椎(; ゚ 3゚)

有需要的话格式如下:
年龄
症状(若患者女性并有怀孕生育史请同时补充)
影象结果
就医历史
药物过敏等其他事项
Tips 无名氏 2099-01-01 00:00:01 ID:Tips超级公民 [举报] No.9999999 管理
(;´Д`)医生!你说话啊!
无标题 无名氏 2025-05-21(三)11:01:06 ID:oq5L8xo [举报] No.66125276 管理
等第二个患者起针就回去( ゚ 3゚)
收起 查看大图 向左旋转 向右旋转
无标题 无名氏 2025-05-21(三)11:08:48 ID:hjxOZlq [举报] No.66125348 管理
po看我这个咋样啊( ´_ゝ`),是不是有点压到脊髓?
无标题 无名氏 2025-05-21(三)11:23:23 ID:oq5L8xo [举报] No.66125486 管理
下班回去( ゚ 3゚)
无标题 无名氏 2025-05-21(三)11:23:55 ID:oq5L8xo [举报] No.66125496 管理
>>No.66125348
一点点吧不严重,有啥症状不
收起 查看大图 向左旋转 向右旋转
无标题 无名氏 2025-05-21(三)12:55:02 ID:hjxOZlq [举报] No.66126254 管理
>>No.66125496
症状是几天重几天轻的,这核磁是症状轻的时候拍的。症状重的时候就是,胳膊有点沉,手指不灵活,说话时舌头有点打结。精神混混沉沉的,困,想睡觉

片子医生说没病,但我有症状( ´_ゝ`)
收起 查看大图 向左旋转 向右旋转
无标题 无名氏 2025-05-21(三)12:55:34 ID:hjxOZlq [举报] No.66126258 管理
>>No.66126254
・゚( ノд`゚)好难受
无标题 无名氏 2025-05-21(三)12:57:54 ID:oq5L8xo [举报] No.66126274 管理
>>No.66126254
肥哥去推拿科看看( ゚ 3゚)
可能会多让你拍个颈椎正侧位片
通常这种就是颈椎不好搞得肩颈肌肉紧张影响血供( ゚ 3゚)
无标题 无名氏 2025-05-21(三)12:59:24 ID:oq5L8xo [举报] No.66126290 管理
>>No.66126274
翟同志,是西安的西京医院吗( ゚∀。)
无标题 无名氏 2025-05-21(三)14:07:27 ID:hjxOZlq [举报] No.66126688 管理
>>No.66126274
是西京,专门去看的(;´Д`)

有时候不舒服的时候,感觉脑子里面少了(个很重要的,应该是供血不足)东西一样,注意力记忆力下降,经常打哈欠流泪。洗完澡或者摆烂出去散心后症状轻一些( ´_ゝ`)。

我感觉那块颈椎骨像是松动了一样,一跑出正位就难受,一回到正位就没事(;´Д`)

其实高中后期脖子就有点不舒服,只是没注意也没啥问题。本科的时候严重,应该是急性期,当时真是脖子疼(现在不疼),感觉世界不真实,有时恶心,更厉害的打哈欠流泪胳膊沉(当时不舍得花钱去医院看,一是怕花钱,二是真怕查出点啥⊂彡☆))д´))。一直到读研现在比之前轻松点,但还是不舒服,于是打算去看了一下。。。
无标题 无名氏 2025-05-21(三)14:10:18 ID:hjxOZlq [举报] No.66126703 管理
>>No.66126274
这病让我长期大脑供血不足,大脑注意力记忆力都变差了( ;´д` )
无标题 无名氏 2025-05-21(三)15:47:09 ID:oq5L8xo [举报] No.66127319 管理
>>No.66126688
要不这样,好肥哥如果禁得起且愿意折腾,就先去神内或脑病挂个号,陈述病情,要求拍个头颅的MRI,看看人给不给开,要是还有余力去看看有心理疾病没有

一般来说颈椎病症状不会如此复杂(当然也有这种甚至更严重的),如果脑袋和心理都没问题的话那估计就纯是颈椎问题

肥哥你这个是核磁,比较难看出来骨排列,不愿意折腾就去推拿科之类的搞张颈椎正侧位+开口位X光片,看看能不能瞅出来啥问题
无标题 无名氏 2025-05-21(三)15:49:30 ID:oq5L8xo [举报] No.66127335 管理
>>No.66126688
走路有没有一脚深一脚浅,会不会坐着站起来眼睛发黑啥的

头晕眼花偏头痛,手痛手麻有没有
收起 查看大图 向左旋转 向右旋转
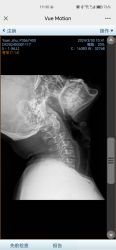
无标题 无名氏 2025-05-21(三)17:07:13 ID:nUbJLeP [举报] No.66127925 管理
我的劲椎和假牙……
无标题 无名氏 2025-05-21(三)17:08:46 ID:nUbJLeP [举报] No.66127943 管理
>>No.66127925
还有一张是颈椎笔直没一点弧度的,但是假牙没太拍到
无标题 无名氏 2025-05-21(三)17:09:15 ID:oq5L8xo [举报] No.66127949 管理
>>No.66127925
增生比较多,曲度有点直
平常还是少低头点( ゚ 3゚)
无标题 无名氏 2025-05-21(三)17:09:44 ID:oq5L8xo [举报] No.66127953 管理
>>No.66127943
假牙倒不用给我看我不搞牙科( ゚ 3゚)
无标题 无名氏 2025-05-21(三)17:17:42 ID:nUbJLeP [举报] No.66128011 管理
>>No.66127949当时是头晕,恶心,去医院拍了片子也是说,只能自己注意,少低头,后面就是上班把屏幕垫高
无标题 无名氏 2025-05-21(三)17:23:43 ID:oq5L8xo [举报] No.66128035 管理
>>No.66128011
睡觉的时候把枕头垫到肩膀下,就是左手抱右肩一开始摸到的那个位置的水平线

枕头一个拳头高,最好偏硬一点
无标题 无名氏 2025-05-21(三)17:25:02 ID:oq5L8xo [举报] No.66128046 管理
肥哥的片子没写年龄,但是这个颈椎增生确实要注意一下了,头晕可能是歪头之类的导致的寰枢关节不对称(`・ω・)

UP主: