写作绅士,读作丧尸 X岛揭示板
顺猴者昌 逆猴者亡 首页版规 |用户系统 |移动客户端下载 | 丧尸路标 | | 常用图串及路标 | 请关注 公众号:【矛盾苇草】| 人,是会思考的芦苇
常用串:·豆知识·跑团板聊天室·公告汇总串·X岛路标

No.61074074 - 无标题 - 综合版1


回应模式
No.61074074
名 称
E-mail
标题
颜文字
正文
附加图片
• 重新出发
• 关于X岛与A岛关系的说明:>>No.50000002置顶串
• 上手前建议您阅读:>>No.50000001【全岛总版规】
• 我们建议您开串时抛弃任何非必要性的身份标签,直接进入话题,否则您可能将面临不友善态度
• 综合版为综合性版块,请优先选择各关联性强分版。
• 工作考试及投资相关请至社畜(校园)版,好物推荐/购物拼团请转买买买版,手机及装机咨询请转数码版,无公众讨论意义及记录请转日记版
• 全岛禁止违法违规话题以及晒交配,请尊重他人的同时尊重自己。
• 特殊事务可于版务版块发串,私信官方微博@X岛揭示板,或邮件联系help@nmbxd.com • 客户端下载地址:https://app.nmbxd.com

收起 查看大图 向左旋转 向右旋转
无标题 无名氏 2024-02-01(四)22:45:56 ID:SmS1n2r [举报] [订阅] [只看PO] No.61074074 [回应] 管理
开个见习纪录串(`・ω・)
小肥在正骨推拿理疗科见习中,由于部分症状容易与其他病症混淆,或错误方式治疗,可能导致延误就医,故在此开串记录日常并穿插科普与治疗建议。
但请注意,小肥不提倡赛博就医,在这串里不会得到具体治疗方案与手法等细节,若肥哥卿姐有需要,可以将自己或亲友的病症,影象结果,治疗过程等按照以下格式发到本串,小肥会在咨询老师白嫖挂号费的情况下转达解答与建议(`・ω・)
串首是小肥岌岌可危但由于不影响正常生活故不用治疗的颈椎(; ゚ 3゚)

有需要的话格式如下:
年龄
症状(若患者女性并有怀孕生育史请同时补充)
影象结果
就医历史
药物过敏等其他事项
Tips 无名氏 2099-01-01 00:00:01 ID:Tips超级公民 [举报] No.9999999 管理
(  ;´Д`  )说谁肥人呢
无标题 无名氏 2024-02-03(六)10:14:21 ID:SmS1n2r (PO主) [举报] No.61091667 管理
>>No.61091575
老人家总是把东西想得很简单,建议是抖音一响父母白养( ゚ 3゚)
无标题 无名氏 2024-02-03(六)12:34:05 ID:SmS1n2r (PO主) [举报] No.61092894 管理
ᕕ( ᐛ )ᕗ下班
回家吃饭,下午去康体
明天还来上一天班
收起 查看大图 向左旋转 向右旋转
无标题 无名氏 2024-02-03(六)13:48:27 ID:JN17Cbc [举报] No.61093733 管理
( ゚∀。)7好肥哥,请教一下
这个位置只要我坐着玩电脑或者做类似坐着然后需要用手臂的事情就会开始痛,有时候会发展成非常猛烈的刺痛,痛得很夸张,有一次半夜给我疼醒了。但六七年前就做过X光,影像学检查没有问题,诱因应该是大概七八年前高强度练琴,几乎每次练琴都会痛
这种情况是肌肉问题吗?我有特发性关节炎,不知道和这个有没有关系?
无标题 无名氏 2024-02-03(六)15:08:47 ID:SmS1n2r (PO主) [举报] No.61094802 管理
>>No.61093733
当时的X光片拍的哪个位置,如果有必要的话拍个颈椎正侧位加开口位,胸椎正侧位X光,由于是颈肩接合处,可能是颈椎压迫神经根,也可能是胸椎位置不正,但考虑到同时有特发性关节炎,也可能是长期维持同一姿势导致发炎后钙化等
总之去拍片子,然后把片子发上来(`・ω・)
无标题 无名氏 2024-02-03(六)15:09:06 ID:SmS1n2r (PO主) [举报] No.61094807 管理
好睏喔( ´д`)
收起 查看大图 向左旋转 向右旋转
无标题 无名氏 2024-02-03(六)15:27:13 ID:JN17Cbc [举报] No.61095027 管理
>>No.61094802
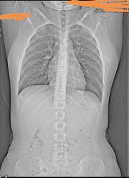
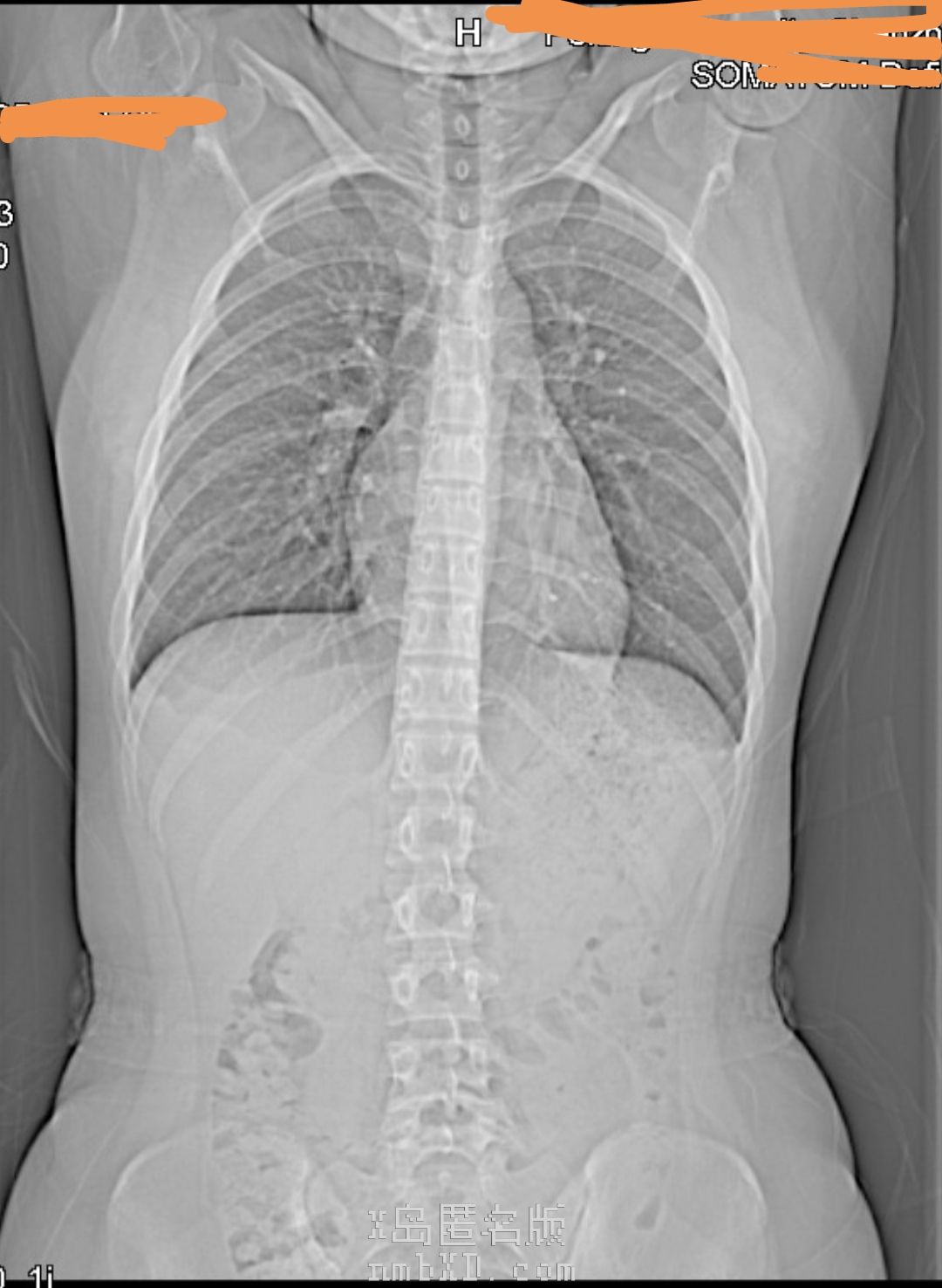
报告!手上目前只有这个胸椎CT!(感觉是不是看不出来什么)(*´д`)
无标题 无名氏 2024-02-03(六)15:32:21 ID:SmS1n2r (PO主) [举报] No.61095071 管理
>>No.61095027
确实看不太出来,但脊柱有点侧弯(`・ω・)
无标题 无名氏 2024-02-03(六)15:33:41 ID:SmS1n2r (PO主) [举报] No.61095080 管理
>>No.61095027
但是你这手,怎么看起来脱臼了似的(´゚Д゚`)
无标题 无名氏 2024-02-03(六)16:22:34 ID:SmS1n2r (PO主) [举报] No.61095619 管理
康体的老师个子又小人又瘦哪来这么大力的( ゚ᯅ 。)
无标题 无名氏 2024-02-03(六)18:29:39 ID:SmS1n2r (PO主) [举报] No.61097164 管理
嗨呀,学完了,回家ᕕ( ᐛ )ᕗ
无标题 无名氏 2024-02-03(六)19:32:39 ID:SmS1n2r (PO主) [举报] No.61098052 管理
拉肚子了( ´_ゝ`)
无标题 无名氏 2024-02-03(六)19:47:50 ID:3Gio3L8 [举报] No.61098211 管理
(`ヮ´ )σ`∀´) ゚∀゚)σ
无标题 无名氏 2024-02-03(六)20:33:19 ID:JN17Cbc [举报] No.61098933 管理
>>No.61095080
( ゚д゚)但我手没脱过臼!
无标题 无名氏 2024-02-03(六)20:41:41 ID:SmS1n2r (PO主) [举报] No.61099041 管理
>>No.61098933
按照>>No.61093733去补两张X光片吧(`・ω・)
无标题 无名氏 2024-02-03(六)20:42:01 ID:SmS1n2r (PO主) [举报] No.61099045 管理
>>No.61098211
别笑(;´Д`)
无标题 无名氏 2024-02-03(六)21:47:12 ID:SmS1n2r (PO主) [举报] No.61099990 管理
胀气又拉稀( ´_ゝ`)
打嗝一股鸡蛋味( ´_ゝ`)
无标题 无名氏 2024-02-04(日)04:52:04 ID:SmS1n2r (PO主) [举报] No.61104341 管理
十二点拉一次,两点半拉一次,现在又来( ´_ゝ`)
无标题 无名氏 2024-02-04(日)05:07:41 ID:SmS1n2r (PO主) [举报] No.61104369 管理
总是轰隆雷鸣着以一种山雨欲来风满楼的架势滚滚袭来,用梦境的方式告诉你你要泄在裤子和床上,惊醒之后摸摸床铺是干的,裤子也是干的,带着被无理吵醒的脑袋到洗手间蹲下之后没有想象中与前面磅礡洪流一样的摧枯拉朽,只有全是黄水混合一点固体的东西和难闻的气体在一点点腹腔主动施压下喷涌而出,但也持续不了多久,大多数时间是蹲在那等待气体推搡着不可名状之物。他妈的,我还要早起上班( ´_ゝ`)
明明很久没有喝可乐了,为什么打嗝开始有种可乐的味道,byd肠道菌群在我身体里头搞酿造场是吧
无标题 无名氏 2024-02-04(日)06:39:48 ID:SmS1n2r (PO主) [举报] No.61104516 管理
已经不是起不起床了,是没怎么睡( ´_ゝ`)

UP主: